智驭影像·本能呈现
uCT 868

uCT 868 将人工智能深度融入 CT 成像的全链路流程,从采集、重建到后处理分析,实现智能技术与临床工作的自然协同。无需复杂操作,无感式介入,让AI 成为工作流程中默认的一环。从探测器的每一次感知,到影像重建的每一帧演算,再到临床交互的每一步路径,智能决策与精密硬件协同一体,大幅提升图像质量、诊断效率与操作一致性。uCT 868,不仅帮助医生看清更多,更让“如何做到”变得不再被感知,让精准、清晰、高效成为诊疗中的标准反应——这正是 uCT 868 所赋予的“本能级”影像体验。

uSense主动感知

AI解码原生真相

硬软件一体协作

AI智链急诊流程

uSense主动感知,解码原生真相


uCT 868 搭载联影最新一代 uSense 人工智能平台,将智能化深度融入 CT 扫描全流程,从感知细微生理运动到精细结构探测,再到多场景诊疗优化。以 AI 为核心驱动力,uSense 重塑成像各环节,打造高效、高清的智慧扫查体验。在心脏成像领域,uSense 结合宽体探测器、心脏专研AI重建算法与AI冠脉运动追焦技术,在保持低剂量的同时,有效抑制运动伪影,精准呈现软斑块、混合型斑块及支架细节,助力冠脉成像惠及更多患者。针对多科室疾病临床应用场景,uSense 平台提供全方位的智能解决方案:包括头部运动伪影智能校正、金属植入物伪影抑制、扫描视野扩展等先进算法。这些创新技术使 uCT 868 能够构建覆盖全场景的智能诊疗体系,持续拓展 AI 赋能医学影像的边界。

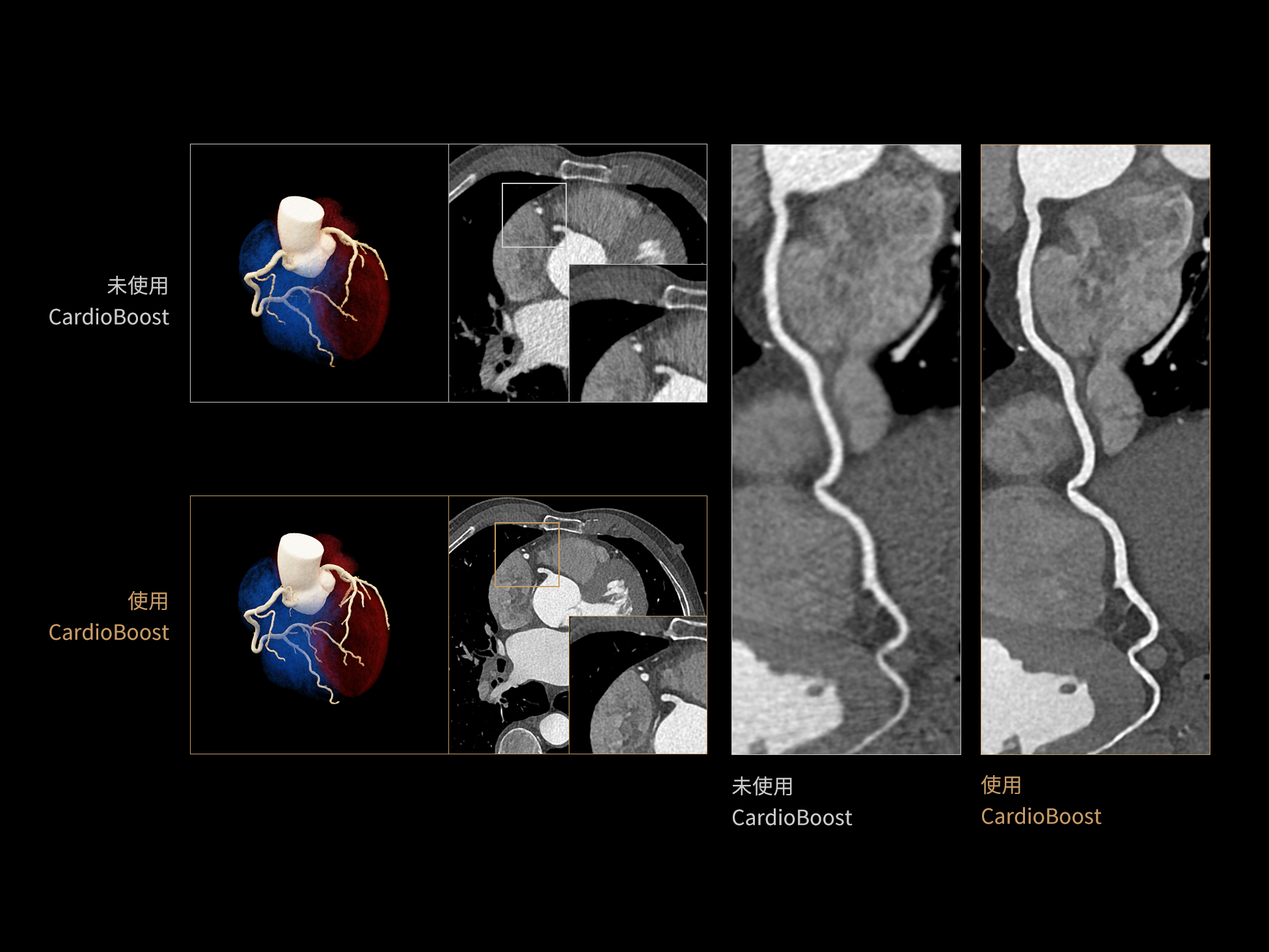
CardioBoost:专属网络设计,重塑心脏影像表现

目前心脏的 CT 检查还存在辐射剂量偏高、空间分辨率不足、 致密钙化伪影影响冠脉狭窄程度评估等方面的限 制[1][2]。CardioBoost 技术专为心脏 CT 高清成像而开发,通过 3D 神经网络的深度学习技术,利用先进的注意力机制在识别关键成像特征方面的出色表现,能够精确地聚焦于斑块、支架以及微小血管等关键细节,清晰展示这些结构与冠脉血管的边界,从而显著提高诊断的准确性,并提升医生的诊断信心。创新的 CardioBoost 心脏图像重建算法,不仅实现了图像清晰度的提升和伪影的去除,更能在减少辐射剂量的同时,保证心脏图像的高质量和图像纹理的自然。
99%※

相同辐射剂量下
低对比度分辨率提升

72%※

相同辐射剂量下
空间分辨率提升

70%※

相同低对比度分辨率下
辐射剂量减少

97%※

相同辐射剂量条件下
图像噪声减少

※ 数据在模体测试条件下,与传统 FBP 图像重建算法对比获得

CardioBoost核心创新

采用 3D 神经网络的空间结构优势与精细的组织分类能力,CardioBoost 技术优化了组织对比,高清展示血管斑块,使斑块与血管边缘的轮廓清晰可辨,提升斑块诊断与评估的精确性。

借助 3D 神经网络设计、空间注意力机制聚焦与特征强化作用,CardioBoost技术提升图像的空间分辨率,实现冠脉支架的高清成像,对支架形态与管腔通畅度的评估更精准。

CardioBoost 整合先进的 3D 神经网络和空间注意力机制,大幅增强数据处理的速度与精确度。该技术能有效抑制由致密钙化引起的晕状伪影,清晰展现钙化斑块的原始结构和大小,对冠脉狭窄的评估更加精确可靠。

对比度强化模块

采用 3D 神经网络的空间结构优势与精细的组织分类能力,CardioBoost 技术优化了组织对比,高清展示血管斑块,使斑块与血管边缘的轮廓清晰可辨,提升斑块诊断与评估的精确性。

分辨率强化模块

借助 3D 神经网络设计、空间注意力机制聚焦与特征强化作用,CardioBoost技术提升图像的空间分辨率,实现冠脉支架的高清成像,对支架形态与管腔通畅度的评估更精准。

伪影抑制模块

CardioBoost 整合先进的 3D 神经网络和空间注意力机制,大幅增强数据处理的速度与精确度。该技术能有效抑制由致密钙化引起的晕状伪影,清晰展现钙化斑块的原始结构和大小,对冠脉狭窄的评估更加精确可靠。

ePhase: AI冠脉最佳期相重建算法

传统方法通常采用全视野分析模式,通过像素找出整个心脏运动幅度最小的时相作为重建相位。然而,这种方法存在固有局限性:其一,心脏各节段运动具有异质性,整体最小运动时相未必对应冠脉局部最佳成像相位;其二,冠脉分支(尤其是右冠状动脉中远段)的运动轨迹与心肌运动不完全同步,这种偏差可能导致细小分支冠脉显示清晰度欠佳。ePhase利用深度学习算法,能够自动定位冠状动脉的位置,并精确提取出左、右冠状动脉的结构。基于此评估血管的形状规则性和边缘清晰度,计算出冠脉质量分数矩阵,并筛选出得分最高的时相作为最优重建时相。无论是针对整个周期,还是分别针对收缩期或舒张期,ePhase都能自动推荐最佳期相,同时也能为左、右冠状动脉分别确定最佳时相。

对于探测器<16 厘米的CT,全心的数据采集需要多个心动周期。这意味着不同的心动周期可能有不同的最佳时相,尤其是在心律不齐的情况下。传统方法为所有心动周期挑选固定时相。ePhase 能够独立为每个心动周期选择最佳相位,从而显著提升冠状动脉的整体图像质量。

基于冠脉质量选择最佳重建相位

传统方法通常采用全视野分析模式,通过像素找出整个心脏运动幅度最小的时相作为重建相位。然而,这种方法存在固有局限性:其一,心脏各节段运动具有异质性,整体最小运动时相未必对应冠脉局部最佳成像相位;其二,冠脉分支(尤其是右冠状动脉中远段)的运动轨迹与心肌运动不完全同步,这种偏差可能导致细小分支冠脉显示清晰度欠佳。ePhase利用深度学习算法,能够自动定位冠状动脉的位置,并精确提取出左、右冠状动脉的结构。基于此评估血管的形状规则性和边缘清晰度,计算出冠脉质量分数矩阵,并筛选出得分最高的时相作为最优重建时相。无论是针对整个周期,还是分别针对收缩期或舒张期,ePhase都能自动推荐最佳期相,同时也能为左、右冠状动脉分别确定最佳时相。

不同心动周期动态自适应

对于探测器<16 厘米的CT,全心的数据采集需要多个心动周期。这意味着不同的心动周期可能有不同的最佳时相,尤其是在心律不齐的情况下。传统方法为所有心动周期挑选固定时相。ePhase 能够独立为每个心动周期选择最佳相位,从而显著提升冠状动脉的整体图像质量。

CardioCapture:AI冠脉运动追焦技术

CardioCapture 算法在冠脉运动伪影校正中采用全局化、系统化的处理策略。以目标时相为核心,重建多个相邻时相图像,利用深度学习技术提取连续时相中的冠脉树结构,构建时相间的运动模型,并对分段重建图像进行精准校正。通过这一过程,CardioCapture 可实现等效21 ms的超高时间分辨率,大幅提升冠脉图像清晰度与判读可靠性。

传统的血管提取通常基于CT值阈值和固定的冠状动脉模型,这种方法常常会失效,尤其是对于存在运动伪影的血管。 CardioCapture 算法基于深度学习网络,充分学习各类冠脉图像,以适应不同冠脉场景,精准高效完成冠脉及中心线提取,相较于仅基于CT 值和固定解剖模型的传统算法,CardioCapture 对于小血管及末端血管显示优势更加显著。

冠脉运动伪影校正过程

CardioCapture 算法在冠脉运动伪影校正中采用全局化、系统化的处理策略。以目标时相为核心,重建多个相邻时相图像,利用深度学习技术提取连续时相中的冠脉树结构,构建时相间的运动模型,并对分段重建图像进行精准校正。通过这一过程,CardioCapture 可实现等效21 ms的超高时间分辨率,大幅提升冠脉图像清晰度与判读可靠性。

有效提取冠脉分支

传统的血管提取通常基于CT值阈值和固定的冠状动脉模型,这种方法常常会失效,尤其是对于存在运动伪影的血管。 CardioCapture 算法基于深度学习网络,充分学习各类冠脉图像,以适应不同冠脉场景,精准高效完成冠脉及中心线提取,相较于仅基于CT 值和固定解剖模型的传统算法,CardioCapture 对于小血管及末端血管显示优势更加显著。

DeepMAC**:AI去金属伪影算法

DeepMAC**智能金属伪影校正技术通过深度学习算法有效解决了临床中各类不规则金属植入物导致的CT成像伪影问题,具备良好的通用性和稳定性。该技术依托大规模、高多样性的训练数据集,覆盖了包括髋关节置换体、脊柱内固定器(胸腰椎/颈椎)、四肢骨科植入物、牙科修复体以及血管介入弹簧圈等在内的金属植入物类型。通过深度神经网络的特征提取与解剖结构重建优化,DeepMAC** 在有效抑制金属伪影的同时,最大程度地保留了真实的解剖细节,显著提升了影像诊断的准确性。
±10HU

CT值准确性※ ※

≥50% 重建速度提升

相较传统算法,重建速度提高50%以上※ ※

** 仅供科研使用
※ ※数据在测试条件下,与传统MAC去金属伪影算法对比获得
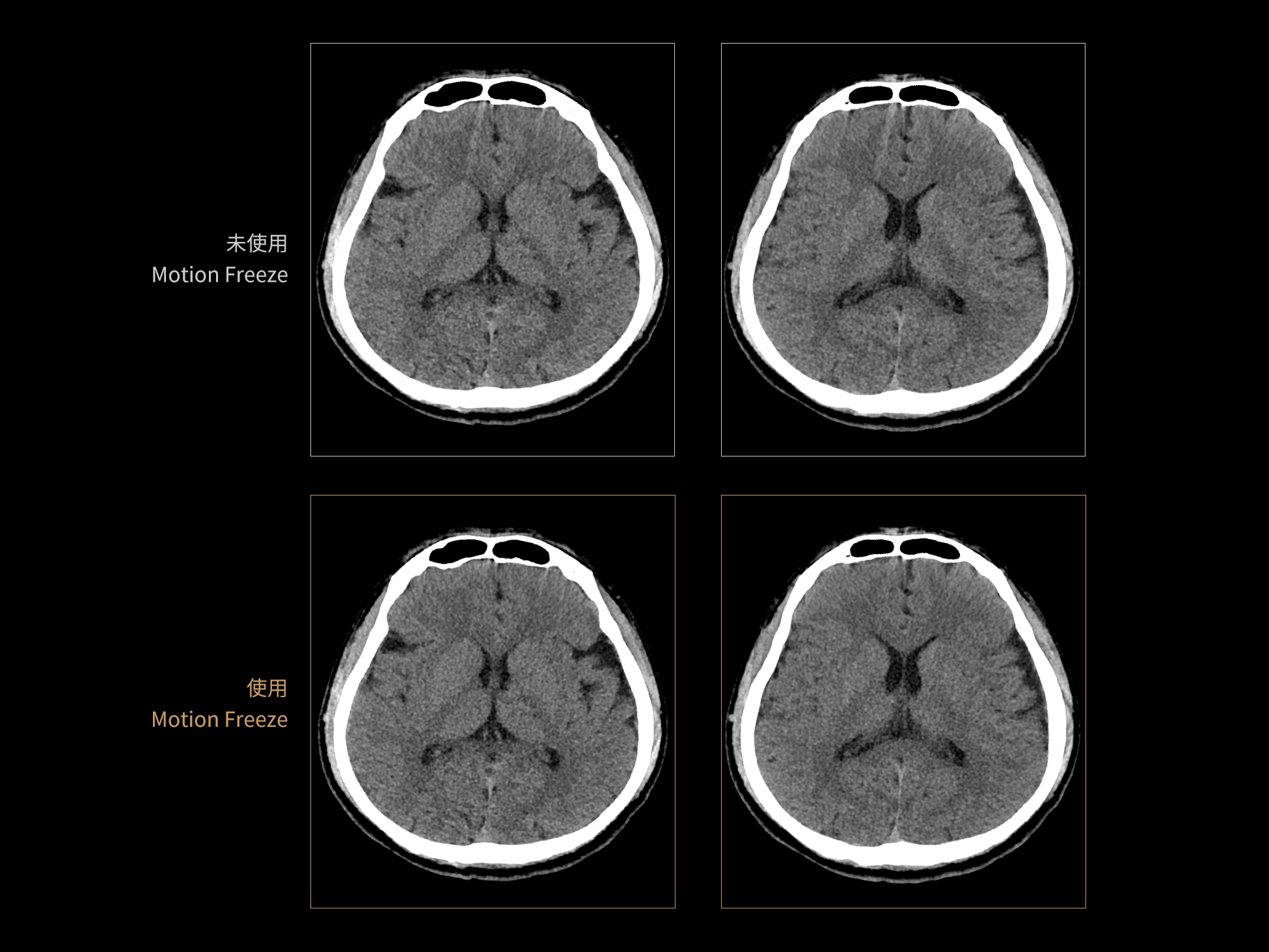
Motion Freeze: 深度学习头部运动伪影校正算法

Motion Freeze 有效抑制头部运动伪影,清晰呈现脑部结构与病灶信息,避免重复扫描,节省检查时间与资源,并降低患者辐射暴露。该算法适用于平扫、增强扫描、CTA 和灌注等多种头部检查模式,显著提升神经系统成像的图像质量与诊断准确性。

患者头部运动通常呈现多种运动模式,现有算法难以全面消除由此产生的伪影。为构建高质量的训练数据集,Motion Freeze算法在X、Y、Z三个方向上模拟旋转、平移、振荡及多种复合运动场景,系统生成多样化的运动伪影样本。通过引入丰富的运动干扰,该方法使网络模型具备更强的泛化能力,能够应对多种复杂的头部运动情况。

支持多种扫描协议下头部运动伪影抑制

Motion Freeze 有效抑制头部运动伪影,清晰呈现脑部结构与病灶信息,避免重复扫描,节省检查时间与资源,并降低患者辐射暴露。该算法适用于平扫、增强扫描、CTA 和灌注等多种头部检查模式,显著提升神经系统成像的图像质量与诊断准确性。

三维建模解析真实运动状态

患者头部运动通常呈现多种运动模式,现有算法难以全面消除由此产生的伪影。为构建高质量的训练数据集,Motion Freeze算法在X、Y、Z三个方向上模拟旋转、平移、振荡及多种复合运动场景,系统生成多样化的运动伪影样本。通过引入丰富的运动干扰,该方法使网络模型具备更强的泛化能力,能够应对多种复杂的头部运动情况。

硬软件一体协作,AI智链急诊流程


在高端CT系统中,对速度与图像质量的要求早已不局限于常规检查,更延伸至复杂、挑战性更高的临床场景。临床常见的急性病症覆盖多个专科领域,包括心血管、神经系统以及创伤急症。这些领域疾病通常起病突然、进展迅速,对成像速度、覆盖范围、图像质量及诊断效率提出极高要求。
作为高端CT解决方案平台,uCT 868 凭借高速扫描能力、宽体探测器、AI驱动重建算法和智能工作流,能够从容应对上述急症场景下的多部位、多模式联合检查需求。不论是冠脉、主动脉与肺动脉的一站式成像,还是卒中的快速识别,亦或是全身创伤评估中的快速定位与精细结构显示,uCT 868 均能以高速、清晰、低剂量的成像表现,助力临床在关键时刻做出快速而准确的诊断判断,赢得宝贵救治时间。

坚实硬件底座,赋能严苛场景下的质量与效率

在急诊场景中,设备启动与准备时间、患者等待时间以及图像分析效率,直接决定诊疗响应的及时性,是评估平台临床价值的核心指标。面对胸痛、卒中及大范围创伤等复杂且紧急的检查需求,平台必须具备多部位一站式扫描能力,以避免中断与重复扫描,确保诊疗流程的连贯性与效率,真正支撑临床快速决策[4]。同时,在高负载运行下仍需坚持低剂量原则,在保证扫描速度与图像质量的基础上,精准控制患者的累计辐射,实现高效与安全的最优平衡。

等效34 MHU液态金属轴承球管

uCT 868搭载液态金属轴承球管,突破传统滚珠轴承球管设备的预热限制,实现随时可扫描的即时响应。配合“透心凉”高效散热设计,系统可持续保持最佳工作状态,确保检查流程的高效运转,尤其适合急诊抢救、胸痛中心等对时间高度敏感的临床场景,为急危重症患者的快速诊断提供可靠保障。

uAI Vision 天眼AI智能成像平台

uAI Vision 实现自动等中心定位与患者摆位,提升操作效率与图像一致性,同时有助于降低表面辐射剂量。配合 Easy Range 功能,可根据扫描协议智能推荐个性化扫描范围,进一步优化检查流程。

8 cm 宽体时空探测器

uCT 868 配备 8 cm 宽体时空探测器,具备 0.5 mm 精细采集能力,结合“零”电子噪声设计,大幅提升数据密度与空间分辨率。一体化 3D 防散射光栅有效抑制散射干扰,保障高精度成像质量。

超快速扫描模式

uCT 868 搭载 440 mm/s 高床速、0.25 s 转速与 8 cm 宽准直扫描能力,实现快速、低剂量的大范围成像——1 秒胸部、2 秒胸腹、5秒内全身螺旋覆盖,即使在无法屏气的患者中亦能获取高质量图像。

uOmnispace*智能后处理工作站

uOmnispace.CT*是全新一代基于服务器配置的后处理工作站,支持对跨模态医学影像图像进行解读和评估。覆盖全科放射、肿瘤、心脏、神经等多学科临床场景,借助智能算法大幅减少人工干预,加速图像分析过程。满足多样化的诊断需求。

*独立于CT注册

胸痛场景

胸痛三联检查覆盖冠脉、肺动脉与主动脉三大系统,涉及扫描协议、造影剂使用与心率控制等多个复杂环节,导致急诊流程繁琐、效率受限。同时,大范围多部位扫描带来较高的辐射剂量与造影剂负担,患者配合度低时易出现运动伪影,影响图像质量并增加误诊漏诊风险。此外,多部位图像整合与解读难度大,对医生经验要求高,进一步加重诊断压力。

动态螺距可根据扫描区域自动切换检查模式(心电门控/非门控),螺距设置与剂量设置,实现高效灵活扫描。在冠脉区域使用小螺距精细采集,在其他区域(如肺部、主动脉)使用大螺距快速采集,保障各部位图像质量清晰一致。

心脏+血管联合应用可实现无需在应用间切换,即可无缝整合心血管、头颈、体部等多部位血管联合评估,支持跨解剖区域的同步定性定量分析。此外还支持经导管主动脉瓣置换术TAVR的CT数据,TAVR协议分析结果助力心血管手术计划的输入。

复杂胸痛检查难题,各有应对之道

胸痛三联检查覆盖冠脉、肺动脉与主动脉三大系统,涉及扫描协议、造影剂使用与心率控制等多个复杂环节,导致急诊流程繁琐、效率受限。同时,大范围多部位扫描带来较高的辐射剂量与造影剂负担,患者配合度低时易出现运动伪影,影响图像质量并增加误诊漏诊风险。此外,多部位图像整合与解读难度大,对医生经验要求高,进一步加重诊断压力。

Dynamic Pitch 三段式动态变螺距扫描方式

动态螺距可根据扫描区域自动切换检查模式(心电门控/非门控),螺距设置与剂量设置,实现高效灵活扫描。在冠脉区域使用小螺距精细采集,在其他区域(如肺部、主动脉)使用大螺距快速采集,保障各部位图像质量清晰一致。

一站式心脏+血管联合分析*

心脏+血管联合应用可实现无需在应用间切换,即可无缝整合心血管、头颈、体部等多部位血管联合评估,支持跨解剖区域的同步定性定量分析。此外还支持经导管主动脉瓣置换术TAVR的CT数据,TAVR协议分析结果助力心血管手术计划的输入。

*后处理工作站独立于CT注册

卒中场景

随着急性缺血性卒中血管内治疗的快速发展,神经影像,尤其是多模态CT成像在卒中分诊与治疗决策中的关键作用日益凸显。其中,CT灌注作为一种快速且实用的评估手段,能够动态反映脑部灌注状态的时间演变,帮助识别可挽救的高危半暗带组织与不可逆的梗死核心。通过快速测量与结果输出,CT灌注为临床争取宝贵治疗窗口提供了坚实支撑。

相较于传统 4–8 cm 的局部灌注扫描,受限的覆盖范围可能导致关键脑区信息缺失,影响诊断完整性。uCT 868 配备 180 mm 动态灌注技术,搭配多参数后处理分析软件,全面提升卒中评估的精准性与效率。

脑灌注分析可在加载数据后自动执行工作流操作并显示灌注分析结果,用于检测疑似中风患者的缺血性变化。该应用提供自动的参数计算,包含CBV、CBF、MTT、TTP、PS、Tmax、rCBV、rCBF、rMTT,并通过参数计算自动生成缺血半暗带及核心梗死区伪彩显示。除此之外,可根据用户绘制的ROI生成时间密度曲线,并生成统计表格。

全脑灌注卒中解决方案

随着急性缺血性卒中血管内治疗的快速发展,神经影像,尤其是多模态CT成像在卒中分诊与治疗决策中的关键作用日益凸显。其中,CT灌注作为一种快速且实用的评估手段,能够动态反映脑部灌注状态的时间演变,帮助识别可挽救的高危半暗带组织与不可逆的梗死核心。通过快速测量与结果输出,CT灌注为临床争取宝贵治疗窗口提供了坚实支撑。

18cm全脑灌注

相较于传统 4–8 cm 的局部灌注扫描,受限的覆盖范围可能导致关键脑区信息缺失,影响诊断完整性。uCT 868 配备 180 mm 动态灌注技术,搭配多参数后处理分析软件,全面提升卒中评估的精准性与效率。

脑灌注智能分析*

脑灌注分析可在加载数据后自动执行工作流操作并显示灌注分析结果,用于检测疑似中风患者的缺血性变化。该应用提供自动的参数计算,包含CBV、CBF、MTT、TTP、PS、Tmax、rCBV、rCBF、rMTT,并通过参数计算自动生成缺血半暗带及核心梗死区伪彩显示。除此之外,可根据用户绘制的ROI生成时间密度曲线,并生成统计表格。

*后处理工作站独立于CT注册

创伤场景

创伤患者需在极短时间内完成从头至盆的全身CT扫描,覆盖多个系统,对速度与一致性要求极高,同时还需快速识别出血、骨折等关键征象,为后续治疗争取时间。uCT 868凭借卓越影像链,0.25秒/r高转速与44 cm/s覆盖速度,实现2秒胸腹连扫、5秒全身扫描,支持自然呼吸状态下完成检查,显著降低配合难度与运动伪影,提高一次成功率,减少重复检查。

在繁忙的急诊或创伤中心,骨折是较常见的病例,骨折位置的手动标记比较费时,很可能遗漏或数错,降低诊断效率。uCT 868提供的骨三维分析能够在主控台上实时的对于肋骨、椎间盘进行标记,同时可多角度、多层面显示图像,以便更好的观察病灶和周围组织之间的关系,并支持肋骨CPR图像显示和椎间盘批量重建,更易于对骨折或创伤进行阅片和诊断,也为医生快速地判定患者的伤情以及指定治疗方案提供影像数据。

创伤场景提质增效

创伤患者需在极短时间内完成从头至盆的全身CT扫描,覆盖多个系统,对速度与一致性要求极高,同时还需快速识别出血、骨折等关键征象,为后续治疗争取时间。uCT 868凭借卓越影像链,0.25秒/r高转速与44 cm/s覆盖速度,实现2秒胸腹连扫、5秒全身扫描,支持自然呼吸状态下完成检查,显著降低配合难度与运动伪影,提高一次成功率,减少重复检查。

智能骨结构分析

在繁忙的急诊或创伤中心,骨折是较常见的病例,骨折位置的手动标记比较费时,很可能遗漏或数错,降低诊断效率。uCT 868提供的骨三维分析能够在主控台上实时的对于肋骨、椎间盘进行标记,同时可多角度、多层面显示图像,以便更好的观察病灶和周围组织之间的关系,并支持肋骨CPR图像显示和椎间盘批量重建,更易于对骨折或创伤进行阅片和诊断,也为医生快速地判定患者的伤情以及指定治疗方案提供影像数据。

uOmnispace* 全新一代后处理工作站

uOmnispace 通过全面自动化优化影像工作流程,在数据抵达服务器后即可自动执行预处理任务。同时,系统支持随访场景下的数据自动预取,实现零等待的即时操作体验。平台还提供灵活可定制的布局设置,便于根据不同疾病的影像需求调整工作流程。这一系列创新有效缩短处理时间,同时确保结果精准、一致,为临床提供高效可靠的支持。

uOmnispace 提供完整的三维成像与高级可视化工具套件,覆盖全科放射、肿瘤、心脏、神经等多学科临床应用场景。借助智能算法(如自动分割、结构提取与标注),大幅减少人工干预,加速图像分析过程。满足多样化的诊断需求,助力医生在复杂病例中做出更有信心的决策。

超真实渲染(Hyper Realistic Rendering,HRR)可将医学影像数据转化为高度真实、细节丰富的三维数字可视图像。相比传统VR渲染,HRR在解剖结构与图像细节的还原上更为精准,助力临床直观地理解病灶特征与组织关系,更加适用于术前规划、教学演示及患者沟通。

智能分析与便捷流程,重塑临床生产力

uOmnispace 通过全面自动化优化影像工作流程,在数据抵达服务器后即可自动执行预处理任务。同时,系统支持随访场景下的数据自动预取,实现零等待的即时操作体验。平台还提供灵活可定制的布局设置,便于根据不同疾病的影像需求调整工作流程。这一系列创新有效缩短处理时间,同时确保结果精准、一致,为临床提供高效可靠的支持。

全景临床解决方案,赋能高效诊断

uOmnispace 提供完整的三维成像与高级可视化工具套件,覆盖全科放射、肿瘤、心脏、神经等多学科临床应用场景。借助智能算法(如自动分割、结构提取与标注),大幅减少人工干预,加速图像分析过程。满足多样化的诊断需求,助力医生在复杂病例中做出更有信心的决策。

HRR超真实物理渲染:精准还原解剖细节的三维可视化技术

超真实渲染(Hyper Realistic Rendering,HRR)可将医学影像数据转化为高度真实、细节丰富的三维数字可视图像。相比传统VR渲染,HRR在解剖结构与图像细节的还原上更为精准,助力临床直观地理解病灶特征与组织关系,更加适用于术前规划、教学演示及患者沟通。

*独立于CT注册